La odontología ha avanzado a pasos agigantados en los últimos años gracias a la incorporación de nuevos avances tecnológicas, especialmente el escaneo y la impresión 3D. Estas dos técnicas combinadas nos permiten obtener imágenes digitales en tres dimensiones de la boca del paciente, diseñar por ordenador las cirugías y posteriormente imprimir férulas (o guías) que nos aseguran la colocación de los implantes en la posición exacta.
La combinación de estás tecnologías es fundamental para realizar tratamientos de carga inmediata, ya que, habitualmente, la prótesis provisional que se colocará al paciente está diseñada y fabricada antes incluso de realizar la cirugía. Y para que la prótesis encaje en su sitio a la perfección es vital que los implantes se coloquen en la posición que habíamos previsto.

Pero, ¿Qué es exactamente un implante dental inmediato?
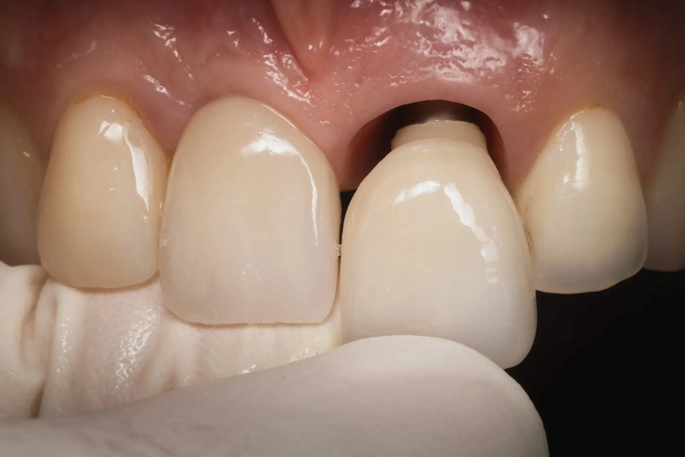
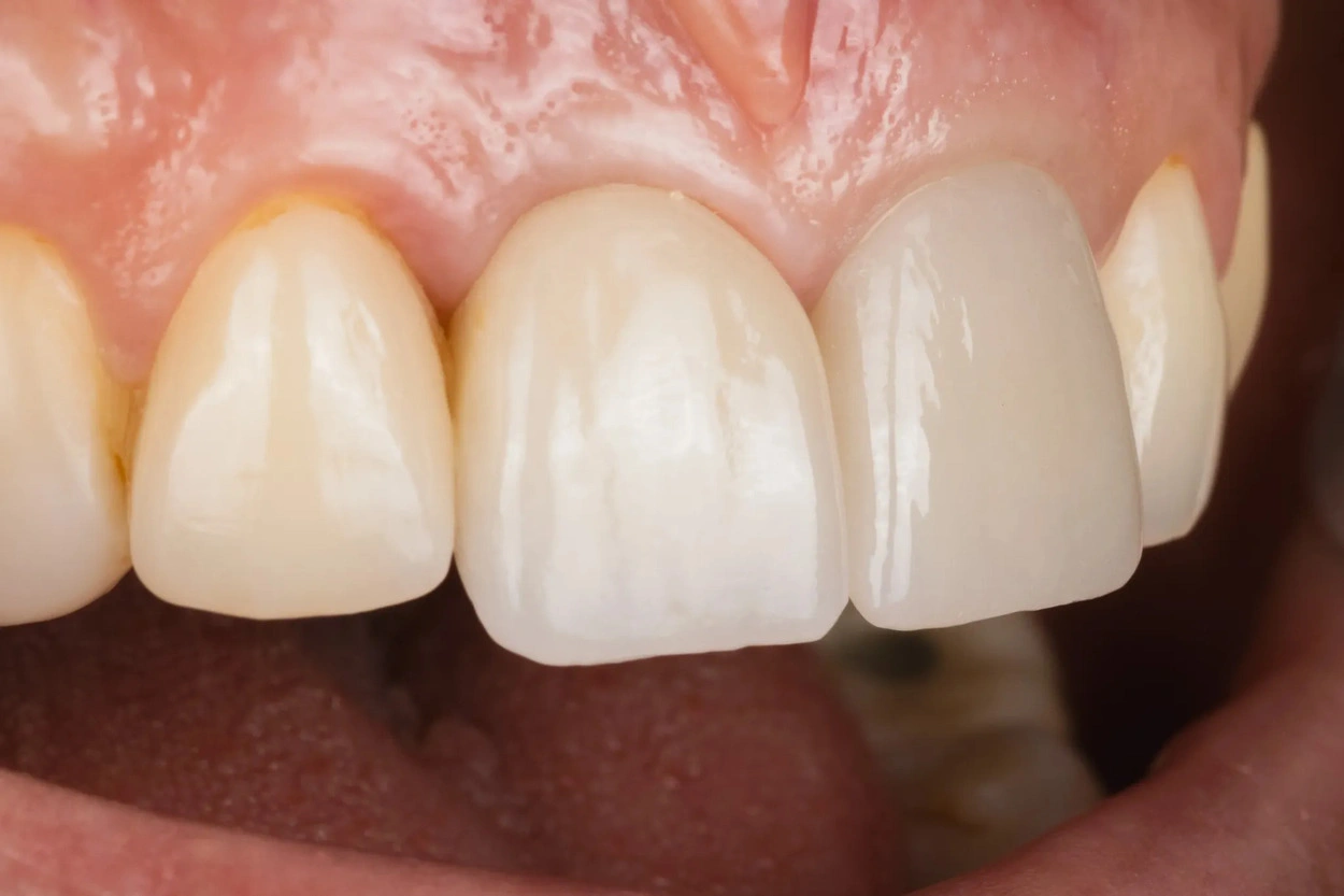
Cuando hablamos de implantes dentales inmediatos (o con carga inmediata) nos referimos a la técnica mediante la cual colocamos, en la misma cirugía, los implantes y los rehabilitamos con coronas provisionales. Recordemos que el implante es tornillo de titanio que va insertado en el hueso y la corona es la pieza (con la forma del diente al que reemplaza) que va atornillada en el implante.

Aunque es una de las técnicas odontológicas que más ha mejorado la experiencia del paciente en los últimos años, existen muchos mitos alrededor de ella. En este artículo desmontaremos esos mitos y te explicamos de forma clara en que casos puede usarse y en que casos no es conveniente.
La carga inmediata es una técnica excelente pero no universal.
Vayamos con los aspectos positivos: ¿Que ventajas tienen los implantes con carga inmediata?
Podemos hablar de dos ventajas principales:
- Resultados inmediatos: El paciente sale de la clínica con su sonrisa restaurada, sin que le falte ninguna pieza dental.
- Beneficio emocional: No tiene que estar sin dientes ni usar prótesis removibles.
- Menos citas y menos molestias: Al realizarse el tratamiento en una sola cirugía, evitamos desplazamientos y algunas molestias postoperatorias.
- Experiencia más cómoda: Desde el primer día el paciente tiene dientes fijos, lo que hace la recuperación más llevadera.
En definitiva, mientras que tradicionalmente el paciente tenía que esperar meses entre la colocación del implante hasta la colocación de la prótesis, hoy en día la carga inmediata permite reducir ese tiempo drásticamente y hacerlo todo en el mismo momento. Y entonces, ¿Cuál es el problema? Aunque la carga inmediata tiene grandes ventajas, está indicada en casos concretos y también conlleva una serie de riesgos añadidos.

Los requisitos fundamentales para que la carga inmediata esté indicada son:
- El paciente debe tener una buena cantidad y calidad de hueso para que los implantes puedan soportar la carga de la prótesis mientras que el proceso de osteointegración está en marcha.
- Es fundamental que el paciente presente una buena salud de encías y no existan focos de infección que puedan poner en riesgo el pronóstico de los implantes.
- Debe haber una mordida estable, es decir, una mordida que reparta la fuerza de forma equitativa entre los dientes de manera que el implante no soporte una carga excesiva.
- Y por último, no tener enfermedades crónicas que dificulten o retrasen la cicatrización.
El factor fundamental: la cantidad de hueso y la salud de las encías.
No se recomienda, por tanto, la carga inmediata en pacientes que no tengan una cantidad de hueso suficiente o que necesiten injertos óseos previos, que tengan algún tipo de infección activa en la zona donde se colocaría el implante o que se estén sometiendo a tratamientos que dificulten la cicatrización.
Una vez vistos los requisitos mínimos pasemos, por último, a los riesgos añadidos que conlleva la carga inmediata cuando la comparamos con la colocación sin carga inmediata (o diferida).
En este punto es fundamental entender como funciona un implante. Una vez que colocamos el implante en el hueso, empieza a producirse un proceso conocido como osteointegración. Esto es, la unión entre el implante y el hueso. Es un proceso de regeneración activa por el cual el organismo reconoce el implante como un cuerpo biocompatible y empieza a generarse hueso nuevo alrededor del mismo. Este proceso suele durar entre 2 y 4 meses.
Cuando utilizamos la técnica de la carga inmediata, el implante va a estar recibiendo “golpes” durante este proceso de osteointegración lo que conlleva un mayor riesgo de complicaciones. Esto no supone un problema siempre y cuando el paciente cumpla los requisitos mencionados anteriormente.

En conclusión, los implantes dentales con carga inmediata son una solución moderna, eficaz y segura para quienes buscan recuperar su sonrisa en tiempo récord, sin renunciar a la estética ni a la funcionalidad.
Eso sí, el éxito del tratamiento depende de una evaluación personalizada y de que el paciente cumpla los requisitos necesarios.
Por eso, si estás pensando en colocarte un implante dental, lo más importante es acudir a una clínica dental especializada. Allí podrán valorar tu caso, estudiar tu salud ósea y gingival, y diseñar un plan adaptado a tus necesidades para conseguir un resultado duradero y natural.


