Rocío llegó a BACA tras sufrir una fractura en su incisivo superior derecho. Un diente con un peso estético enorme: es lo primero que se ve al sonreír y al hablar.

Ella lo tenía claro: “quería recuperar mi sonrisa cuanto antes porque no me sentía nada cómoda yendo a trabajar y saliendo con mis amigos sin una paleta”
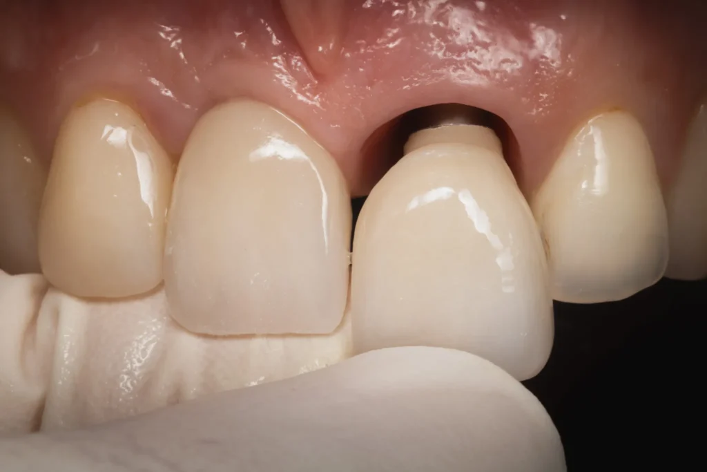
En situaciones así, cada hora importa. No solo por la función del diente, sino por el impacto emocional que tiene perder una pieza tan visible. Por eso, tras estudiar su caso, le propusimos un tratamiento que encajaba exactamente con lo que necesitaba: la técnica de colocación de implante con carga inmediata.
Tras realizarle un escaneo de su boca, fabricamos una férula a medida para la colocación de su implante. En el mismo día pudimos extraer el diente fracturado, colocamos un implante en su lugar y lo rehabilitamos con una prótesis provisional fija.

Hoy, su caso es un ejemplo perfecto de cómo la tecnología y la planificación digital nos permiten ofrecer soluciones más rápidas, más cómodas y estéticamente imperceptibles. Y de cómo, a veces, en un solo día puede cambiar por completo la forma en la que te miras al espejo.

